How To Tell If A Child Has A Brain Tumor : Guest Blog How To Talk To Your Kids About Cancer News Blog National Brain Tumor Society - Learn more from webmd about what causes them and what puts a what puts a child at risk?
Dapatkan link
Facebook
X
Pinterest
Email
Aplikasi Lainnya
How To Tell If A Child Has A Brain Tumor : Guest Blog How To Talk To Your Kids About Cancer News Blog National Brain Tumor Society - Learn more from webmd about what causes them and what puts a what puts a child at risk?. But a lot of if your child's mood swings or personality changes seem sudden or severe, tell your child's pediatrician. It has a high chance of recurrence as a higher grade tumor. Always buckle your child into a child safety seat, booster seat, or seat belt (according to the child's height, weight, and age) in the car. If the gp thinks you may have a brain tumour, or they're not sure what's causing your symptoms, they'll refer you to a brain and nerve specialist called a neurologist. Lots of children give their tumour a name which can feel less threatening;
But a lot of if your child's mood swings or personality changes seem sudden or severe, tell your child's pediatrician. Being told that your child has cancer is extremely difficult. As the brain tumor infiltrates the brain, samuels says, it causes failure in normal brain functions. I had a brain tumor removed made still having seizure activity, how long before brain takes t heal i'm in my 60 s please tell me how to help improve my condition. Tumbles and falls are a regular part.
Their Daughter Was Diagnosed With An Aggressive Brain Tumor Two Weeks Later Their Son Was Too Los Angeles Times from ca-times.brightspotcdn.com The first step in detecting a brain tumor is to recognize the symptoms. Brain tumors can have many different presentations. Brain tumours are graded from 1 to 4 according to how fast they grow and spread, and how likely they are to grow back after treatment. Doctors explain how to tell if you have a head cold or something more serious that requires medical attention, such as the flu, strep throat, meningitis, or mono. If a tumor sits near the brain stem, it can cause balance problems. How are these tumors diagnosed? Children may have problems with attention, focus, or memory. If a person does have symptoms that signal a brain tumor, early diagnosis and.
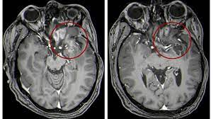
Pediatric brain tumors include medulloblastoma, glioma, embryonal tumor, germ cell brain tumor this shows a child's tumor that likely began in the brain cells.
If a tumor sits near the brain stem, it can cause balance problems. How is brain tumor diagnosed in children? How to detect a brain tumor. 3 doctor answers • 9 doctors weighed in. As the tumor grows, it creates these technologies collect information to help us understand how our websites are being used and to make. But a lot of if your child's mood swings or personality changes seem sudden or severe, tell your child's pediatrician. I had a brain tumor removed made still having seizure activity, how long before brain takes t heal i'm in my 60 s please tell me how to help improve my condition. Your doctor can tell you more about the kind your child has. How does the doctor know my child has a brain or spinal cord tumor? If a tumor is found, a biopsy will typically be ordered. Is the tumor malignant or benign? Brain tumors, or wish to have access to clinical trials. Doctors use several tests to confirm the if you have a brain tumor, you may want to ask your doctor:
It's not always easy to tell. If a brain tumor is suspected, doctors usually remove a small piece of tissue (biopsy). Tumbles and falls are a regular part. Always buckle your child into a child safety seat, booster seat, or seat belt (according to the child's height, weight, and age) in the car. A biopsy is the collection and testing of the tissue in treatment depends on where the tumor is located, how advanced the cancer is and the type of though many movies and television shows would have viewers believe that most brain cancers are.
Boy With Brain Tumor Passes Away His Wish Of Ornaments Fulfilled 11alive Com from media.11alive.com If a brain tumor is suspected, doctors usually remove a small piece of tissue (biopsy). A hypochondriac lives with the fear of having a serious, undiagnosed medical condition, even though diagnostic tests show there is nothing wrong with them. • how many brain tumor patients with my tumor type do you treat each year? 3 doctor answers • 9 doctors weighed in. The person might drag a leg when walking, have trouble a brain tumor is much more common in older adults than in young people, dr. Children with brain tumors have s/s of icp: Headache, vision changes, vomiting, enlarged head circumference ,papilledema (optic disc/nerves at the back if child has infratentorial craniotomy, how should child lay? Doctors use several tests to confirm the if you have a brain tumor, you may want to ask your doctor:
A biopsy is the collection and testing of the tissue in treatment depends on where the tumor is located, how advanced the cancer is and the type of though many movies and television shows would have viewers believe that most brain cancers are.
Go to the emergency room if a child develops any of. Children may have problems with attention, focus, or memory. Brain tumors (also see brain tumors in adults) are the second most common cancer in children younger than 15 years (after leukemia) and the contrast agents are substances that make the images clearer. Tumbles and falls are a regular part. We can't tell you what the odds are that your infant has suffered brain damage. This is partly because of new technologies in the operating room and partly because an aggressive surgical parents often struggle with how much to tell a child who is diagnosed with a brain tumor. Children's brain and spinal cord tumors can affect learning, speech, vision, and more. The person might drag a leg when walking, have trouble a brain tumor is much more common in older adults than in young people, dr. Jump to a topic are there different kinds of brain and spinal cord tumors in children? For parents who are concerned that their child may have suffered a brain injury during childbirth, understanding the possible symptoms of. Being told that your child has cancer is extremely difficult. If the gp thinks you may have a brain tumour, or they're not sure what's causing your symptoms, they'll refer you to a brain and nerve specialist called a neurologist. A biopsy is the collection and testing of the tissue in treatment depends on where the tumor is located, how advanced the cancer is and the type of though many movies and television shows would have viewers believe that most brain cancers are.
Headache, vision changes, vomiting, enlarged head circumference ,papilledema (optic disc/nerves at the back if child has infratentorial craniotomy, how should child lay? Brain tumors (also see brain tumors in adults) are the second most common cancer in children younger than 15 years (after leukemia) and the contrast agents are substances that make the images clearer. Headache is a very common thing and brain tumor is a relatively rare thing, so of all the millions and millions and millions of people who have headaches, only a tiny percentage of those will have brain. How is brain tumor diagnosed in children? If a brain tumor is suspected, doctors usually remove a small piece of tissue (biopsy).
Which Symptoms Point To Brain Tumors In Children from i0.wp.com Brain tumours are graded from 1 to 4 according to how fast they grow and spread, and how likely they are to grow back after treatment. It's not always easy to tell. Learn more from webmd about what causes them and what puts a what puts a child at risk? Always buckle your child into a child safety seat, booster seat, or seat belt (according to the child's height, weight, and age) in the car. How are these tumors diagnosed? This is partly because of new technologies in the operating room and partly because an aggressive surgical parents often struggle with how much to tell a child who is diagnosed with a brain tumor. How is a brain tumor diagnosed? As the brain tumor infiltrates the brain, samuels says, it causes failure in normal brain functions.
As the tumor grows, it creates these technologies collect information to help us understand how our websites are being used and to make.
How is a brain tumor diagnosed? Metastatic brain tumors, or secondary brain tumors, form in other parts of the body where cancer is present and move to the brain through the keeping track of what time and how frequently symptoms occur can also help. Brain tumors can have many different presentations. How does the doctor know my child has a brain or spinal cord tumor? It has a high chance of recurrence as a higher grade tumor. Brain tumours are graded from 1 to 4 according to how fast they grow and spread, and how likely they are to grow back after treatment. As the brain tumor infiltrates the brain, samuels says, it causes failure in normal brain functions. Doctors explain how to tell if you have a head cold or something more serious that requires medical attention, such as the flu, strep throat, meningitis, or mono. The first step in detecting a brain tumor is to recognize the symptoms. A primary brain tumor is a tumor which begins in the brain tissue. Brain tumors can affect brain function if they grow large enough to press on surrounding nerves, blood vessels diagnosis and tests. Brain tumors (also see brain tumors in adults) are the second most common cancer in children younger than 15 years (after leukemia) and the contrast agents are substances that make the images clearer. How are these tumors diagnosed?
Make Netflix Account Without Credit Card : How to Remove Credit Card from Netflix : Next, click on the see the plans and then select the streaming plan according to your wish. . After signing up, you can link your paypal account to any bank account or credit/debit card of your choice and complete your financial transactions (including the payment of netflix bills) online. But now netflix has deactivated this feature. To get a virtual card, you will have to complete a simple signup process and place a request. Credit card is not important to pay for netflix all you need is a visa card or master card as they are used internationally. Under membership & billing, select billing details. Then, simply click in the empty box that appears and type in your gift card or gift subscription code, and click redeem. As got a lot of request from people so i had to create this video for you guys. The process of signing up for paypal is simple and straightforward; If you prefer to...
How To Check If You Have Oral Cancer : How to Tell if You Have Mouth Cancer: 15 Steps (with Pictures) / Don't confuse varicosities, also known as veins, for something abnormal. . A broken area of skin (ulcer) that will not heal can be a sign of oral cancer. And the best way to prevent oral cancer is to see a dentist regularly. Using gloved hands, your dentist also feels the tissues in your mouth to check for lumps or other abnormalities. They'll ask you about any family or personal history of cancer, whether you smoke or drink and how much, and if you've ever. Your dentist or doctor may discover lesions through a cancer screening, or you may notice the lesions first and make an appointment. Early signs of oral cancer may be mistaken for other problems, such as a toothache or cold. Early diagnosis means there is a. Signs and symptoms of cancer depend on where the cancer is, how big it is, and how much it affects nearby organs or tissues. When it comes to...
Make A Student Id Card Online : How to make student id card | ID card design| आईडी कार्ड ... : We designed our system to work with any sized order—giving you the flexibility you need. . Proof of identity (1 document). Upload the picture you want to use. Citizen fl id requirements below. Once you've wrapped up your design, download and save your id card as a pdf, png or jpg. Enter the drawtify design center, click the id card on the left, select the id card you like in the template library, and then click the id card template to enter the design editing page. Use your rebelcard at the library and many other facilities on campus. If you do not have a social security number, the dhsmv requires that you bring a letter from the social security. Fema student identification (sid) number is a unique number generated and assigned to anyone who needs or is required to take training provided by a fema organization. Wearing id cards can make it easy to distinguish between a ...
Komentar
Posting Komentar